top of page


Ceramic Wrap
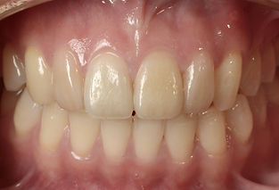
治療前
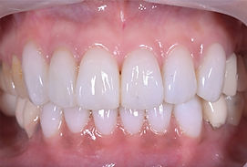
治療後


審美不全を改善しに来院
12,22をCramic Wrapで補綴処置

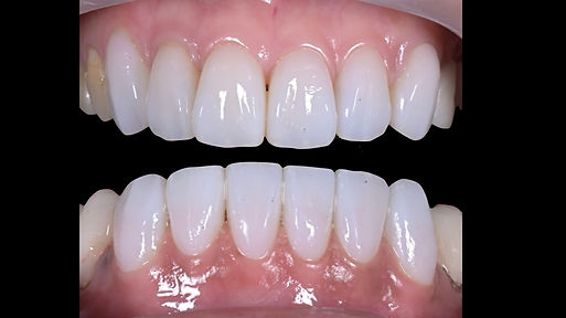
治療前

治療後
11,21が長いこと、12,22の捻転を改善したいと来院
12~22をCeramic Wrapで補綴処置



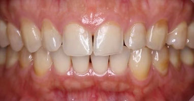
治療前

治療後
審美不全を改善しに来院
13~23,33~43Cramic Wrapで補綴処置





治療前
治療後
審美不全を改善しに来院
14~24をCramic Wrapで補綴処置
bottom of page